Trinken Sie mehr als 10 Liter Wasser pro Tag
Männlicher Patient L.D.N. (38 Jahre, Hanoi ) musste zum Arzt, nachdem sie fast ein Jahr lang ununterbrochen unter starkem Durst litt. Sie trank täglich über 10 Liter Wasser, hatte aber immer noch das Gefühl, nicht genug zu trinken. Gleichzeitig nahm die Häufigkeit des Wasserlassens ungewöhnlich stark zu (10-15 Mal pro Tag); nachts musste sie etwa zwei Stunden lang aufstehen, um zu urinieren.

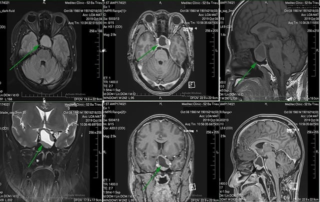
Hypophyseninsuffizienz aufgrund einer endokrinen Störung, die Ursache von Diabetes insipidus
FOTO TL MEDLATEC
Im Gespräch mit dem Arzt in der Medlatec Tay Ho General Clinic erzählte der Patient, dass er im Jahr 2023 wegen eines Kraniopharyngeoms operiert worden sei. Der Arzt ordnete an, dass der Patient einige notwendige paraklinische Techniken anwenden sollte, um die Diagnose zu stellen.
Die Untersuchungsergebnisse zeigten, dass der Patient nach einer Kraniopharyngeom-Operation an einer postoperativen Hypophyseninsuffizienz litt, einer seltenen endokrinen Erkrankung. Insbesondere die Natriumwerte im Blut zeigten einen Anstieg des osmotischen Blutdrucks und einen Rückgang des osmotischen Urindrucks. Die Ärzte diagnostizierten eine postoperative Hypophyseninsuffizienz nach einer Kraniopharyngeom-Operation und verordneten ihm eine Behandlung sowie die Anweisung, seine Lebensgewohnheiten und Ernährung umzustellen.
Nach zweiwöchiger Behandlung hatte der Patient weniger Durst und trank etwa 2,5 bis 3 Liter pro Tag. Die Urinmenge verringerte sich auf 2 bis 3 Liter pro Tag (etwa 6 bis 8 Mal pro Tag). Der Patient hält die Behandlung weiterhin ein und kommt regelmäßig zu Kontrolluntersuchungen.
Nach Angaben des behandelnden Arztes litt Herr N. an Diabetes insipidus. Die Krankheit tritt nicht unabhängig auf, sondern ist Teil der Komplikation einer Hypophyseninsuffizienz nach einer Kraniopharyngeom-Operation. Bei einer Schädigung der Hypophyse sinkt der antidiuretische Hormonspiegel (ADH), wodurch der Körper nicht mehr ausreichend Wasser speichern kann. Dies führt zu ständigem Durst, häufigem Wasserlassen und verdünntem Urin.
Ein normaler Mensch uriniert durchschnittlich etwa 1 bis 2 Liter Urin pro Tag, während ein Mensch mit Diabetes insipidus bis zu 20 Liter pro Tag urinieren kann. Wenn ein Mensch mit Diabetes insipidus nicht genug trinkt, um die durch den Urin verlorene Wassermenge zu ersetzen, kann er dehydrieren, was sehr gefährlich für seine Gesundheit ist.
Quelle: https://thanhnien.vn/khat-nuoc-du-doi-benh-gi-185251007102142396.htm
Kommentar (0)