នាថ្ងៃទី ២៣ ខែកញ្ញា លោកវេជ្ជបណ្ឌិត Le Ngoc Long នាយកមន្ទីរពេទ្យទូទៅ Binh Duong (HCMC) បានប្រាប់អ្នកយកព័ត៌មាន Dan Tri ថាថ្មីៗនេះ គ្រូពេទ្យនៅទីនេះបានទទួលការព្យាបាលបន្ទាន់ និងព្យាបាលករណីគ្រោះថ្នាក់ដ៏សោកនាដកម្មមួយ។
អ្នកជំងឺជាក្មេងស្រីឈ្មោះ LNP (អាយុជិត២០ឆ្នាំ)។ តាមព័ត៌មានបឋមបានឲ្យដឹងថា ពេលធ្វើការនៅរោងចក្រ ជនរងគ្រោះបានជួបឧបទ្ទវហេតុបុកជាមួយគ្រឿងចក្រ បណ្តាលឱ្យបាក់កំភួនដៃខាងស្តាំ និងដាច់ដៃស្តាំ ។

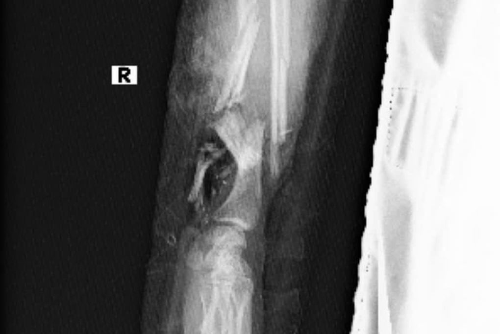
គ្រោះថ្នាក់នេះបណ្តាលឱ្យដៃស្តាំរបស់កុមារីរងរបួសបែកក្បាល(រូបថត៖ មន្ទីរពេទ្យ)
អ្នកជំងឺបានទទួលជំនួយដំបូងនៅមណ្ឌល ព្យាបាល នៅ Thuan An Ward (HCMC) បន្ទាប់មកត្រូវបានបញ្ជូនទៅកាន់មន្ទីរពេទ្យទូទៅ Binh Duong នៅរសៀលថ្ងៃដដែល។ នៅទីនេះ អ្នកជំងឺជាស្ត្រីត្រូវបានគេកត់សម្គាល់ថា មិនមានការតក់ស្លុតនោះទេ គឺមានផ្ទៃពោះកូនភ្លោះ២៣សប្តាហ៍ ហើយមានរបួសដាច់ដៃជើង។
អ្នកជំងឺត្រូវបានពិគ្រោះយោបល់ផ្ទៃក្នុង និងអន្តរមន្ទីរពេទ្យជាមួយនាយកដ្ឋានសង្គ្រោះបន្ទាន់ សម្ភព វះកាត់ - ចាក់ថ្នាំស្ពឹក រោគឈាម និងផ្នែកឆ្អឹង ដើម្បីរៀបចំផែនការវះកាត់។
"ក្មេងស្រីមិនទាន់អាយុ 20 ឆ្នាំមានផ្ទៃពោះកូនភ្លោះបានជួបគ្រោះថ្នាក់ការងារធ្ងន់ធ្ងរ។ កាតព្វកិច្ចរបស់យើងគឺធានាសុវត្ថិភាពម្តាយនិងកូនភ្លោះប៉ុន្តែបំណងប្រាថ្នារបស់ក្មេងស្រីគឺរក្សាដៃរបស់នាង។
យើងបានសម្រេចចិត្តដោយក្លាហានដើម្បី "រក្សា" ដៃបណ្តោះអាសន្ននៅលើជើងរហូតដល់វាអាចត្រូវបានភ្ជាប់ឡើងវិញដោយផ្តល់ឱ្យអ្នកជំងឺនូវឱកាសមួយផ្សេងទៀតដើម្បីថែទាំកូនពីរនាក់របស់នាងដោយដៃម្តាយរបស់នាង។ ក្រុមការងារបានធ្វើរឿងនេះនៅក្នុងការគ្រប់គ្រងរបស់ពួកគេ ដូច្នេះអ្វីៗទាំងអស់អាចធ្វើបានដោយសុវត្ថិភាពនាពេលនេះ និងទៅអនាគត។
ក្នុងស្ថានភាពនេះ កម្លាំងរួមមានតម្លៃខ្លាំងណាស់»។

ដៃរបស់អ្នកជំងឺត្រូវបានគ្រូពេទ្យដាក់ជាបណ្ដោះអាសន្នលើជើងរបស់គាត់បន្ទាប់ពីការវះកាត់ដែលប្រើពេលជាច្រើនម៉ោង (រូបថត៖ មន្ទីរពេទ្យ)។
ការវះកាត់បានធ្វើឡើងនៅម៉ោង៥ល្ងាច។ និងបន្តរហូតដល់ម៉ោង ៣ ទៀបភ្លឺនៅថ្ងៃបន្ទាប់។ បច្ចុប្បន្នម្តាយ និងកូនទាំង២នាក់នៅមិនទាន់មានសុខភាពល្អទេ ចំណែកដៃបណ្តោះអាសន្នដែលប្តូរទៅជើងវិញគឺល្អ។ គេរំពឹងថានៅពេលដែលទារកឈានដល់អាយុ 32 សប្តាហ៍ គ្រូពេទ្យនឹងពិចារណាដាក់ដៃអ្នកជំងឺឡើងវិញ។
ប្រភព៖ https://dantri.com.vn/suc-khoe/ghep-tam-tay-dut-lia-vao-chan-de-co-gai-mang-song-thai-lam-me-tron-ven-20250923090639597.htm
Kommentar (0)