ប្រឈមមុខនឹង ហានិភ័យនៃការបាត់បង់ការចល័តដោយសារតែជំងឺកម្រ
មានអាយុត្រឹមតែ៣៧ឆ្នាំប៉ុណ្ណោះ លោក M ជាបុរសមានសុខភាពល្អ ជាអ្នករកស៊ីដ៏សំខាន់ក្នុងគ្រួសារ។ ទោះបីជាយ៉ាងណាក៏ដោយ ក្នុងរយៈពេលមួយឆ្នាំកន្លងមកនេះ ការឈឺចាប់ក្នុងសន្លាក់របស់គាត់ ការឈឺចាប់តាមឆ្អឹងដ៏វែងរបស់គាត់ និងការឈឺសាច់ដុំរិលបានធ្វើឱ្យរាងកាយរបស់លោក M កាន់តែយ៉ាប់យ៉ឺនយ៉ាងឆាប់រហ័ស។ បន្ទាប់ពីការពិនិត្យជាច្រើនដងរួចមក ស្រាប់តែគាត់ត្រូវបានគេរកឃើញថា មានការបាក់ឆ្អឹងជាច្រើនកន្លែង និងត្រូវប្តូរត្រគាកសិប្បនិម្មិត ដោយសារការបាក់ឆ្អឹងក បើទោះបីជាគាត់មិនមានរបួសអ្វីពីមុនមកក៏ដោយ។
បន្ទាប់ពីការវះកាត់ប្តូរត្រគាក លោក M សង្ឃឹមថាសុខភាព និងការចល័តរបស់គាត់នឹងធូរស្បើយជាបណ្តើរៗ ប៉ុន្តែតាមពិត ការឈឺចាប់ពេញរាងកាយរបស់គាត់កាន់តែធ្ងន់ធ្ងរទៅៗ។
«ឈឺសន្លាក់ និងឆ្អឹងដូចមនុស្សចាស់ ឈឺកាន់តែធ្ងន់ទៅៗ ទាំងពេលធ្វើការ និងពេលសម្រាក រាល់ពេលដែលខ្ញុំផ្លាស់ប្តូរទីតាំង ឬផ្លាស់ទី គឺពិបាកខ្លាំងណាស់ ភាគច្រើនខ្ញុំត្រូវប្រើឈើច្រត់ ឬសុំសាច់ញាតិរបស់ខ្ញុំ អស់រយៈពេលជាងមួយឆ្នាំហើយ ដែលខ្ញុំត្រូវជិះតាក់ស៊ីទៅធ្វើការ មិនអាចបើកបរដោយខ្លួនឯងបាន»។

អនុបណ្ឌិត វេជ្ជបណ្ឌិត Nguyen Thi Van ពិនិត្យអ្នកជំងឺ M (រូបថត៖ មន្ទីរពេទ្យ CC)។
ដោយប្រឈមមុខនឹងស្ថានភាពកាន់តែធ្ងន់ធ្ងរ គាត់បានត្រលប់ទៅមន្ទីរពេទ្យទូទៅហុងង៉ុក ដើម្បីពិនិត្យ។ នៅទីនេះ បន្ទាប់ពីការធ្វើតេស្តជាបន្តបន្ទាប់ ការធ្វើរោគវិនិច្ឆ័យដោយរូបភាព ការវាស់វែងដង់ស៊ីតេឆ្អឹង... គ្រូពេទ្យបានកំណត់ថាគាត់មាន osteomalacia អមដោយ hyperparathyroidism និង hypophosphatemia រ៉ាំរ៉ៃ។
អនុបណ្ឌិត វេជ្ជបណ្ឌិត ង្វៀន ធីវ៉ាន់ នាយកដ្ឋានសាច់ដុំនៃមន្ទីរពេទ្យទូទៅហុងង៉ុក ដែលបានពិនិត្យ និងព្យាបាលអ្នកជំងឺដោយផ្ទាល់បានចែករំលែកថា៖ «ជំងឺពុកឆ្អឹង គឺជាជំងឺដែលឆ្អឹងទន់ និងខ្សោយ ដោយសារបញ្ហាមេតាបូលីសឆ្អឹង បណ្តាលឱ្យឆ្អឹងផុយ និងងាយបាក់។ ជំងឺនេះកម្រ និងពិបាករកណាស់ ព្រោះរោគសញ្ញាងាយយល់ច្រឡំជាមួយជំងឺសាច់ដុំផ្សេងៗ ដូចជាជំងឺដាច់សរសៃឈាមខួរក្បាលជាដើម។ hyperparathyroidism... យោងតាមអក្សរសិល្ប៍វេជ្ជសាស្រ្ដ ពិភពលោក បច្ចុប្បន្ននេះមានករណីកត់ត្រាតិចជាង 1,000 ហើយនៅក្នុងប្រទេសវៀតណាម នេះគឺជាករណីមួយក្នុងចំណោមករណីមួយចំនួនដែលត្រូវបានរកឃើញភ្លាមៗ»។
ដំណើរស្វែងរក ប្រភពដើមនៃ ជំងឺកម្រ
មានមូលហេតុជាច្រើននៃជំងឺ osteomalacia ចំពោះអ្នកជំងឺវ័យក្មេង។ ការស្វែងរកមូលហេតុនឹងជួយព្យាបាលគោលដៅត្រឹមត្រូវ អ្នកជំងឺអាចជាសះស្បើយទាំងស្រុង បញ្ឈប់អត្រានៃការចុះខ្សោយនៃឆ្អឹង កម្រិតហានិភ័យនៃការបាក់ឆ្អឹងបន្ថែមទៀត ការខូចទ្រង់ទ្រាយសន្លាក់ និងការបាត់បង់ការចល័តជាអចិន្ត្រៃយ៍។
ទោះជាយ៉ាងណាក៏ដោយ ការស្វែងរកមូលហេតុនៃជំងឺដ៏កម្រនេះមិនសាមញ្ញទេ MSc ។ វេជ្ជបណ្ឌិត ង្វៀន ធីវ៉ាន់ ក៏បាននិយាយផងដែរថា “រយៈពេលជាមធ្យមក្នុងការធ្វើរោគវិនិច្ឆ័យជំងឺគឺ ៣ ឆ្នាំកន្លះ ក្នុងករណីខ្លះវាត្រូវចំណាយពេលដល់ទៅ ៤២ ឆ្នាំដើម្បីស្វែងរកមូលហេតុ ដែលមានន័យថាអ្នកជំងឺត្រូវរស់នៅជាមួយការឈឺចាប់ឆ្អឹង និងសន្លាក់យូរ”។
លើសពីនេះ នៅប្រទេសវៀតណាម ការធ្វើតេស្តរកជំងឺ osteomalacia នៅមានកម្រិតនៅឡើយ ដែលធ្វើឲ្យការធ្វើដំណើររបស់លោក M ដើម្បីស្វែងរកមូលហេតុនៃជំងឺនេះពិបាក។
នៅពេលដែលពួកគេបានទទួលករណីរបស់គាត់ភ្លាម វេជ្ជបណ្ឌិតនៃនាយកដ្ឋាន Orthopedics មន្ទីរពេទ្យទូទៅ Hong Ngoc បានធ្វើការវាយតម្លៃយ៉ាងទូលំទូលាយលើកត្តាជាច្រើន។ វេជ្ជបណ្ឌិតបានវាយតម្លៃដោយប្រុងប្រយ័ត្ននូវកត្តាហ្សែន (ប្រវត្តិគ្រួសារ បងប្អូនបង្កើត ដំណើរការអភិវឌ្ឍឆ្អឹងតាំងពីកុមារភាព) បានពិនិត្យកត្តាការងារ ដូចជាការប៉ះពាល់នឹងសារធាតុគីមីពុល និងពិនិត្យមើលរបបអាហារពិសេស និងសមត្ថភាពស្រូបយកសារធាតុចិញ្ចឹមរបស់គាត់។ ទោះជាយ៉ាងណាក៏ដោយ លទ្ធផលទាំងអស់មិនបានរកឃើញភាពមិនប្រក្រតីណាមួយឡើយ មូលហេតុទាំងនេះត្រូវបានច្រានចោល។
លើសពីនេះទៀតវេជ្ជបណ្ឌិតបានបន្តវាយតម្លៃកត្តាហានិភ័យ: Hyperparathyroidism និង hypophosphatemia រ៉ាំរ៉ៃ។ លទ្ធផលអ៊ុលត្រាសោនមិនបានរកឃើញដុំសាច់នៅក្នុងក្រពេញ Parathyroid ទេ។ ដំបូងឡើយ វាត្រូវបានគេកំណត់ថា ជម្ងឺ hyperparathyroidism របស់លោក M គឺជាជំងឺបន្ទាប់បន្សំ ដែលជាផលវិបាកនៃជំងឺ osteomalacia មិនមែនជាមូលហេតុនៃជំងឺនោះទេ។ ការស្វែងរកមូលហេតុនៃ hypophosphatemia តាមរយៈការធ្វើតេស្ត សន្ទស្សន៍ការបញ្ចេញផូស្វ័រក្នុងទឹកនោមត្រូវបានរកឃើញថាកើនឡើង ដោយសង្ស័យថាអ្នកជំងឺមានដុំសាច់ដែលបង្កើនការសំងាត់នៃ FGF23 ដែលជាកត្តាបង្កើនការបញ្ចេញផូស្វ័រតាមរយៈផ្លូវទឹកនោម បណ្តាលឱ្យមានកង្វះផូស្វ័រ ភាពមិនប្រក្រតីនៃការរំលាយអាហារឆ្អឹង និងនាំឱ្យមានជំងឺ osteomalacia ។

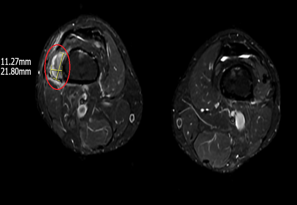
រូបភាពនៃដុំសាច់នៅតំបន់ជាលិកាទន់ក្រោមភ្លៅខាងស្តាំលើខ្សែភាពយន្ត MRI (រូបថត៖ BVCC)។
"វាមានសារៈសំខាន់ណាស់ក្នុងការកំណត់ទីតាំងនៃដុំសាច់នេះ ដើម្បីលុបបំបាត់ទាំងស្រុងនូវមូលហេតុនៃកង្វះផូស្វ័រ ដែលបណ្តាលឱ្យឆ្អឹងផុយ។ ទោះជាយ៉ាងណាក៏ដោយ បញ្ហាប្រឈមនៃដំណើរការវិនិច្ឆ័យគឺថា ដុំសាច់ FGF23 ច្រើនតែមានលក្ខណៈស្លូតបូត តូច និងគ្មានការឈឺចាប់ ដែលអាចលេចឡើងគ្រប់ទីកន្លែងក្នុងរាងកាយ។
ដើម្បីបញ្ជាក់ពីរោគវិនិច្ឆ័យ ចាំបាច់ត្រូវកំណត់បរិមាណសន្ទស្សន៍ FGF23 ក្នុងឈាម ទោះជាយ៉ាងណាក៏ដោយ នៅប្រទេសវៀតណាមបច្ចុប្បន្នមិនមានការធ្វើតេស្តបែបនេះទេ។ ដូច្នេះហើយ យើងបានបញ្ជាឱ្យអ្នកជំងឺធ្វើការស្កែន PET/CT ពេញរាងកាយជាមួយនឹងសារធាតុវិទ្យុសកម្ម រួមជាមួយនឹង MRI និងអ៊ុលត្រាសោន ហើយទីបំផុតបានរកឃើញដុំសាច់ទំហំ 1-2cm នៅក្នុងជាលិកាទន់ក្រោមភ្លៅខាងស្តាំ"។
ការព្យាបាលដុំសាច់ដែលធ្វើឱ្យឆ្អឹងចុះខ្សោយ អ្នកជំងឺ " រួច " ពិការ
ភ្លាមៗបន្ទាប់ពីការបញ្ជាក់ពីទីតាំងនៃដុំសាច់នោះ វេជ្ជបណ្ឌិតមកពីនាយកដ្ឋានសាច់ដុំ ឆ្អឹង ក្រពេញ endocrinology និង Orthopedics - មន្ទីរពេទ្យទូទៅហុង ង៉ុក បានធ្វើការពិគ្រោះ និងធ្វើផែនការមួយ៖ ការធ្វើកោសល្យវិច័យដុំសាច់ (កំណត់លក្ខណៈ histopathological ស្រដៀងនឹង FGF23 hypersecreting tumor) និងធ្វើការវះកាត់យកដុំសាច់ចេញ។

រូបភាពនៃដុំសាច់ដែលវះកាត់ (រូបថត៖ BVCC)។
បន្ទាប់ពីការវះកាត់ ដុំសាច់ត្រូវបានដកចេញ សុខភាពរបស់អ្នកជំងឺមានស្ថេរភាព ហើយការធ្វើតេស្តផូស្វ័រក្នុងឈាមមានភាពប្រសើរឡើងគួរឱ្យកត់សម្គាល់បន្ទាប់ពី 1 សប្តាហ៍។ បច្ចុប្បន្នក្រោយរយៈពេល៦សប្តាហ៍ កម្រិតផូស្វ័រក្នុងឈាមបានត្រឡប់មកធម្មតាវិញ អ្នកជំងឺហូបបានស្អាត គេងលក់ស្រួល មានការឈឺចាប់តិច អាចផ្លាស់ប្តូរទីតាំង និងដេកនៅលើចំហៀងបានដោយគ្មានការឈឺចាប់ និងអាចដើរជុំវិញផ្ទះដោយមិនប្រើឈើច្រត់។
MSc បាននិយាយថា "ដោយសារតែការខូចខាតឆ្អឹងធ្ងន់ធ្ងរ អ្នកជំងឺនឹងត្រូវការយ៉ាងហោចណាស់ 3-12 ខែដើម្បីឱ្យឆ្អឹងងើបឡើងវិញ។ ក្នុងអំឡុងពេលនេះ អ្នកជំងឺត្រូវអនុវត្តតាមរបបព្យាបាលនៃការបន្ថែមកាល់ស្យូម វីតាមីន D សកម្ម និងអាហារូបត្ថម្ភប្រសើរឡើង" ។ បណ្ឌិត វ៉ាន់។

សុខភាពរបស់អ្នកជំងឺ M មានស្ថេរភាពបន្ទាប់ពីការវះកាត់ (រូបថត៖ BVCC)។
តាមរយៈនេះ MSc.BSNT Nguyen Thi Van ក៏បានផ្តល់អនុសាសន៍ថា អ្នកជំងឺត្រូវប្រុងប្រយ័ត្នចំពោះការឈឺចាប់ឆ្អឹង និងសន្លាក់យូរ ហើយគួរតែទៅជួបគ្រូពេទ្យឯកទេសខាងសាច់ដុំជាបន្ទាន់ នៅពេលដែលមានសញ្ញាមិនធម្មតា ដើម្បីជៀសវាងការពន្យារពេលការធ្វើរោគវិនិច្ឆ័យ និងការព្យាបាល។
ប្រភព៖ https://dantri.com.vn/suc-khoe/mac-benh-hiem-nguoi-dan-ong-37-tuoi-xuong-gion-yeu-nhu-80-tuoi-20250909104307203.htm
Kommentar (0)